Arthrosis sendi lutut (gonartrosis) adalah penyakit degeneratif di mana tulang rawannya lebih nipis. Menurut statistik, setiap penduduk kelima di planet ini mengalami patologi ini. Artikel ini akan mempertimbangkan penyebab utama arthrosis, gejala -gejala di setiap peringkat, serta kaedah diagnosis dan rawatan.
Punca
Setiap hari, sendi lutut mengalami beban besar ketika berjalan. Lagipun, mereka perlu menahan jisim seluruh badan. Akibatnya, terdapat memakai tisu tulang rawan secara beransur -ansur, yang merupakan punca perubahan patologi di lutut.
Kumpulan risiko termasuk orang:
- orang tua,
- menderita berat badan berlebihan,
- mengalami gangguan osteoporosis dan metabolik,
- pernah menerima kecederaan sendi lutut,
- mewakili profesion tertentu,
- menderita kekurangan mikro,
- terlibat dalam sukan berat.

Dalam kebanyakan orang yang berumur 40 tahun, kehadiran arthrosis pada peringkat kedua atau lebih baru boleh didapati.
Gejala utama
Sudah tentu, perubahan dalam tisu tulang rawan tidak boleh berlaku tanpa gejala. Dengan penyakit, seseorang boleh mengadu tentang:
- perasaan tidak selesa di lutut setelah bangun atau panjang dalam kedudukan duduk,
- Sakit di kaki selepas kedudukan yang panjang,
- Sensasi terbakar ketika memanjat gunung dan naik tangga,
- Kelemahan di kaki selepas sedikit beban, serta pada penghujung hari.
- Sesetengah pesakit bimbang walaupun pada waktu malam, semasa tidur.
Penting! Penyakit ini tidak berlaku dengan ketara, ia berkembang selama bertahun -tahun. Kesakitan pada peringkat pertama boleh menjadi tidak penting, tetapi dari masa ke masa terdapat peningkatan yang berterusan.
Arthrosis lutut sendi 1 darjah
Pada peringkat ini, gonarthrosis baru memulakan perkembangannya, oleh itu, bagi seseorang, proses itu berjalan hampir tanpa gejala. Walau bagaimanapun, beberapa tanda masih boleh dilihat.
Seseorang sering mula merasakan keletihan di kaki, perhatikan sedikit penurunan dalam pergerakan satu atau dua sendi lutut. Fenomena ini amat penting pada waktu pagi, dalam minit pertama selepas kebangkitan.
Sebagai peraturan, diagnosis penyakit pada tahap ini berlaku secara tidak sengaja, semasa X -ray. Di atasnya, doktor mungkin perhatikan beberapa penyelewengan pada tulang rawan. Ia juga mungkin untuk menyempitkan lumen di antara bahagian sendi.
Arthrosis lutut sendi 2 darjah
Patologi sendi lutut mula kelihatan lebih jelas. Kemunculan sindrom kesakitan adalah ciri, yang diprovokasi oleh sebarang beban tambahan pada sendi.
Rujukan. Pada peringkat ini, kesakitan berlalu secara bebas, selepas berehat panjang.
Di samping itu, semasa peringkat kedua, gejala seperti:
- Kristus dengan pergerakan tertentu. Ia boleh diperhatikan dalam satu dan dalam kedua -dua lutut. Kerentanan itu tidak dapat dilihat, tetapi secara beransur -ansur ia memperoleh watak yang kasar, kuat dan sangat berbeza.
- Mengurangkan keupayaan untuk membengkokkan sepenuhnya kaki di lutut. Sesetengah orang hanya boleh melakukan ini ke sudut 90 darjah, maka sensasi yang tidak menyenangkan muncul, dan mereka terpaksa berhenti.
- Sesetengah pesakit dengan gonartrosis peringkat ke -2 mula mengadu tentang penampilan sakit tajam yang berlaku apabila sendi lutut bengkok.
- Adalah mungkin untuk mengubah bentuk sendi lutut, ia menjadi lebih luas, membengkak. Ini disebabkan oleh pengumpulan cecair patologi.

Jika ketidakselesaan dikesan di kawasan lutut, anda mesti berunding dengan doktor supaya dia menetapkan rawatan yang betul.
Arthrosis lutut 3 darjah
- Pada peringkat ini, pada sendi sendi, perubahan rawan struktur yang sangat kuat diperhatikan. Pertumbuhan yang mempunyai saiz besar muncul di atasnya.
- Kelengkungan kaki yang terjejas diperhatikan. Ia memperoleh selekoh berbentuk 0 atau berbentuk X, yang menjadi halangan yang serius untuk kehidupan penuh pesakit. Akibatnya, seseorang boleh menjadi orang kurang upaya.
- Fenomena ciri tahap ke -3 penyakit ini adalah kesakitan yang teruk, yang dapat dilihat secara berterusan, menguatkan selepas mana -mana, bahkan sedikit beban.
- Seseorang melihat sensitiviti sendi kepada perubahan cuaca. Sekarang bahawa siklon sedang menghampiri, lutut sakit, menarik sensasi timbul di dalamnya.

Dengan usia, sendi mula bertindak balas terhadap perubahan cuaca dan tekanan.
Arthrosis sendi lutut 4 darjah
Ia adalah tahap akhir penyakit yang melampau, di mana jurang antara tulang tidak hadir.
Rujukan. Kebanyakan ortopedis menyifatkan peringkat keempat ke tempat ketiga. Ini disebabkan oleh persamaan gejala dan kerumitan diagnosis yang tepat pada masanya.
Oleh kerana ketiadaan jurang diperhatikan, pergerakan sendi hanya mustahil.
Di samping itu, pesakit diseksa oleh kesakitan yang tidak dapat ditanggung, yang hanya dilepaskan oleh ubat penahan sakit yang teruk. Tetapi selepas masa ketika tindakan tablet atau suntikan berhenti, gejala yang tidak menyenangkan muncul lagi.
Diagnostik
Pemeriksaan pesakit bermula dengan permintaannya untuk membantu pakar. Mereka mungkin ahli terapi atau ortopedis.
Doktor mendengar aduan, mengumpul anamnesis, menjalankan peperiksaan. Pertama sekali, dia akan berminat dengan perubahan luaran dalam sendi, batasan mobiliti di kawasannya.

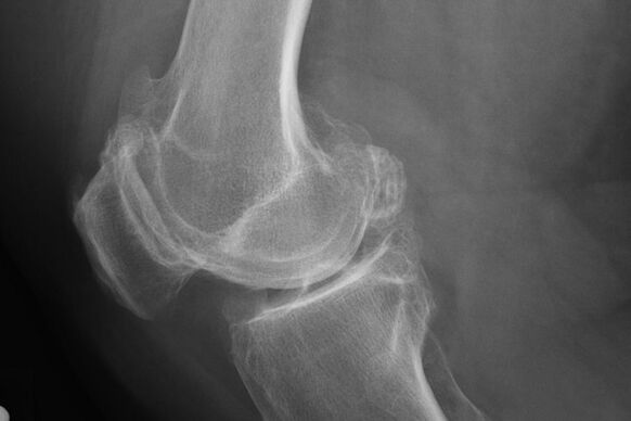
X -ray akan membantu mengenal pasti penyimpangan dalam tulang rawan.
Apabila meneliti, pesakit mengadu tentang penampilan sensasi yang tidak menyenangkan, dan dengan bersinar dari cawan lutut, masalah menjadi didengar.
Penting! Diagnosis tidak mungkin selepas satu pemeriksaan visual doktor, walaupun di hadapan semua tanda -tanda penyakit. Hanya peperiksaan yang komprehensif yang membolehkan anda memberikan jawapan yang tepat mengenai patologi yang mengalir di lutut.
Selepas peperiksaan, doktor menetapkan radiografi pesakit. Ini adalah kaedah utama untuk mendiagnosis arthrosis sendi lutut dari mana -mana darjah.
X -ray memberikan Doktor idea tentang perubahan yang berlaku dalam tulang rawan sendi. Walau bagaimanapun, dalam beberapa kes, peringkat awal tidak boleh ditakrifkan dalam gambar.
Sekiranya perlu, doktor boleh menetapkan laluan berulang-ulang tomografi resonans x-ray atau dikira dan magnetik.
Rawatan
Apabila mendiagnosis gonarthrosis, rawatan segera harus bermula. Ini akan membantu menghentikan perkembangan patologi, menghalang banyak komplikasi.
Terapi penyakit mengejar beberapa gol sekaligus. Iaitu:
- Penghapusan Sindrom Sakit,
- penurunan keterukan gejala lain,
- Pemulihan maksimum mungkin rawan dan ligamen yang terjejas bersama,
- Peningkatan dalam pergerakan anggota badan.
Rawatan penyakit ini termasuk kaedah seperti:
- Terapi dadah,
- urut, osteopati, terapi manual,
- Campur tangan pembedahan,
- Pendidikan Jasmani Perubatan dan Pencegahan,
- Fisioterapi.
Penjagaan dadah
Rujukan. Terapi dadah adalah kaedah utama merawat penyakit ini. Walau bagaimanapun, ia paling berjaya apabila digabungkan dengan kaedah lain.
Ubat yang digunakan untuk rawatan gonarthrosis termasuk:
- Ubat anti -radang nonsteroidal - Melegakan pesakit dari kesakitan, melegakan keradangan. Ubat -ubatan ini adalah agen gejala tanpa menjejaskan punca penyakit ini. Mereka hanya berjuang dengan manifestasinya, membawa bantuan sementara.
- Chondroprotectors - Pulihkan kain rawan. Walau bagaimanapun, kesannya menjadi ketara tidak serta -merta. Oleh itu, ubat -ubatan mempunyai sifat kumulatif (akumulatif), oleh itu, badan memerlukan masa untuk kesan penuh mereka.
- Ubat hormon. Mereka ditetapkan, sebagai peraturan, dengan peringkat lanjutan penyakit ini. Dana ini dengan cepat boleh melegakan bengkak dan keradangan tisu di sekeliling sendi. Kelemahan kelas ubat ini adalah kesan sistemik pada badan, di mana banyak tindak balas buruk yang tidak diingini adalah mungkin. Mereka ditetapkan hanya dalam satu kursus satu -masa, semasa pemburuan proses.
- Ubat luaran, direka untuk melegakan kesakitan. Dikeluarkan dalam bentuk salap, krim.
- Asid hyaluronik. Ia adalah penyelesaian baru dalam rawatan gonartrosis. Ia adalah pengenalan intra -artikular yang memelihara sendi. Ia mempunyai kecekapan yang agak tinggi. Walau bagaimanapun, kaedah ini dicirikan oleh kekurangan seperti: kemungkinan penggunaan hanya pada peringkat awal penyakit dan kos tinggi ubat.
Penting! Memperkenalkan ubat ke dalam jurang bersama adalah dibenarkan tidak lebih daripada 1 kali dalam 7-10 hari.
Urut
Urut, serta rawatan manual dan osteopatik ditujukan kepada:
- Penghapusan kesakitan,
- Mengatasi kekakuan pergerakan di lutut,
- Peningkatan bekalan darah di tapak tulang rawan,
- Menyediakan nutrien dan oksigen di kawasan keradangan.
Rujukan. Urut dan prosedur yang serupa harus dilakukan hanya oleh orang yang mempunyai pendidikan khas. Jika tidak, anda boleh membahayakan dan memperburuk keadaan sendi.
Campur tangan pembedahan
Ia adalah ukuran yang melampau dalam rawatan arthrosis, apabila penyakit ini sangat diabaikan dan kaedah terapi lain tidak berkuasa. Selalunya, endoprosthetics digunakan, di mana sendi yang terjejas digantikan oleh implan.
Prosthetics boleh terdiri daripada dua jenis:
- penuh - keseluruhan sendi diganti,
- Partial - Hanya bahagian yang paling dipakai dari sendi artikular adalah tertakluk kepada penggantian.
Kontraindikasi kepada prostetik adalah:
- jangkitan purulen kronik;
- gangguan neuromuskular;
- patologi urat;
- Sejumlah penyakit kardiovaskular.
Pilihan lain ialah osteotomi pembetulan. Dengan kaedah ini, plat dimasukkan ke dalam sendi, mengurangkan tekanan pada kawasan lutut yang terjejas.
Terapi senaman
Ia adalah pelaksanaan yang kerap dan betul dari beberapa latihan fizikal yang bertujuan untuk mengukuhkan sendi dan memulihkan mobilitasnya.
Prosedur ini boleh dilakukan secara bebas di rumah, setelah menghubungi pakar untuk mendapatkan nasihat.
Pencegahan
Berikutan peraturan mudah akan menghalang kejadian atau keterukan pemusnahan tulang rawan. Untuk ini yang anda perlukan:
- Ikuti diet. Ini akan menyumbang kepada kawalan berat badan, menyediakan badan dengan semua vitamin dan mineral yang diperlukan.
- Mematuhi sukan tertentu, meninggalkan orang lain. Hakikatnya, dengan gonarthrosis, beban yang berlebihan pada lutut sangat tidak diingini. Atas sebab ini, berlari dan melompat lebih baik untuk menggantikan dengan menunggang basikal, berenang atau aquaerobik.
- Kerap melakukan latihan terapeutik.
- Pakai kasut yang selesa dan ortopedik. Ia tidak boleh diterima memakai kancing dan tumit tinggi, satu -satunya yang rata, memberikan keutamaan kepada kasut dengan tumit kecil.
Arthrosis sendi lutut adalah penyakit yang agak biasa yang boleh disedari untuk masa yang lama. Walaupun permulaan tanpa gejala, gonarthrosis boleh membawa kepada komplikasi yang serius, sehingga kecacatan. Oleh itu, sangat penting untuk menjalankan diagnostik dalam masa dan memulakan rawatan yang diperlukan.
















































